绝经后骨质疏松症是最常见的代谢性骨病,影响全球近2亿女性。骨质疏松症的特征是骨矿化改变和骨量减少,导致骨折的可能性增加。此外,由于患者行动能力和日常活动受限,以及与医疗、缺勤和长期住院相关的费用,骨质疏松性骨折造成了重大的社会和经济负担。雌激素下降是绝经后骨质疏松症的主要原因,它通过促进破骨细胞骨吸收和抑制成骨细胞骨形成来阻碍骨稳态。目前,bisphosphonates是骨质疏松症临床治疗的优选药物。尽管如此,长期使用bisphosphonates可能会导致并发症,如骨坏死。更全面地了解绝经后骨质疏松症的分子发病机制可能会导致新的靶点和生物标志物的发现,以帮助预防和治疗这种疾病。
越来越多的证据表明,非编码RNAs(ncRNAs)在骨质疏松性骨再生过程中起着关键的调节作用。因此,它们有望成为预防骨质疏松症的潜在治疗靶点。近年来,环状RNAs(circRNAs)因其在调节疾病发生和发展过程中的重要作用而备受关注。这些分子比线性RNAs更稳定,因为它们的闭环结构保护它们免受RNA核酸外切酶的降解。CircRNAs最初被认为是剪接过程的副产物,没有生物学功能。相比之下,最近的研究发现,circRNAs可以通过充当microRNAs(miRNAs)海绵来调节内源性竞争性mRNAs的翻译。有趣的是,最近的证据表明,circRNAs可以通过与RNA结合蛋白(RBPs)相互作用,在调节疾病的发病机制中发挥重要作用。例如,最近的一项研究表明,circPDE4B通过与RIC8A和MID1相互作用来防止关节软骨退化,这表明circRNA通过与RBPs相互作用在调节软骨形成中发挥关键作用。
此外,新出现的证据表明,一些circRNAs在骨质疏松症患者的外周血中失调。其中一些circRNAs已被鉴定为通过充当miRNA海绵调节BMSC增殖或分化的调节因子。然而,这些先前的研究仅限于探索与骨质疏松症相关的circRNAs在充当miRNAs海绵中的作用。目前尚不清楚circRNAs是否可以通过其他机制(例如通过与RBPs相互作用)调节骨代谢。
近日,Nature子刊Bone Research(IF13.567)期刊发表了题为Circular RNA circStag1 promotes bone regeneration by interacting with HuR的研究论文。报道了一个与骨质疏松症相关的关键circRNA circStag1,其在骨质疏松大鼠BMSCs和绝经后骨质疏松患者骨组织中表达下调,并通过HuR/Wnt信号促进骨质疏松性骨形成。结果表明,作为骨代谢的关键调节因子,circStag1可能作为预防绝经后骨质疏松症的候选治疗靶点。

首先,研究人员从去卵巢(OVX)和sham处理大鼠的骨髓中分离和培养BMSCs,发现OVX大鼠的BMSCs的成骨能力显著降低。成骨标志基因的表达在骨质疏松性BMSCs中显著减少。为了鉴定潜在的骨质疏松症相关的circRNAs,研究人员进行了RNA测序以寻找骨质疏松BMSCs中失调的circRNAs。结果显示,与假手术组BMSCs相比,OVX组BMSCs中有54个circRNAs表达上调,65个表达下调。其中有15个circRNAs(10个上调,5个下调)在人和大鼠中高度同源,通过qPCR对这些circRNAs的表达水平进一步分析发现circFam13c、circCcbe1、circTc2n、circArhgap26和circPde4d在骨质疏松性BMSCs和临床骨组织中的表达显著升高,而circLcor1、circStag1和circArih1的表达显著降低。进一步的研究发现circStag1是一种与骨质疏松相关的环状circRNA,与骨量和骨形成呈正相关。
Fig1. 环状RNA circStag1在BMSCs成骨分化过程中表达下调,并与成骨密切相关
随后,研究人员对circStag1进行了表征,并构建了circStag1过表达质粒(ov-circStag1)和小干扰RNA(si-circStag1),以测试过表达或敲低circStag1对Stag1 mRNA表达的影响。结果显示circStag1并不调节Stag1的表达。接下来,研究人员通过FISH和核质分离发现circStag1主要位于BMSCs细胞质。并通过茜素红S(ARS)和ALP染色发现,过表达circStag1可以显著增强BMSCs的成骨能力,并显著增加了成骨标志物的表达,但通过敲低circStag1会显著减弱这种作用。表明circStag1对调节骨生成具有积极作用。
Fig2. CircStag1促进BMSCs骨生成
机制上,研究人员发现circStag1与RNA结合蛋白HuR(人类抗原R)相互作用,并促进HuR易位进入细胞质。高水平的细胞质HuR通过稳定和增强低密度脂蛋白受体相关蛋白5/6(Lrp5/6)和β-catenin的表达来激活Wnt信号通路,从而刺激BMSCs的成骨分化。
Fig3. CircStag1通过与HuR相互作用激活Wnt信号通路
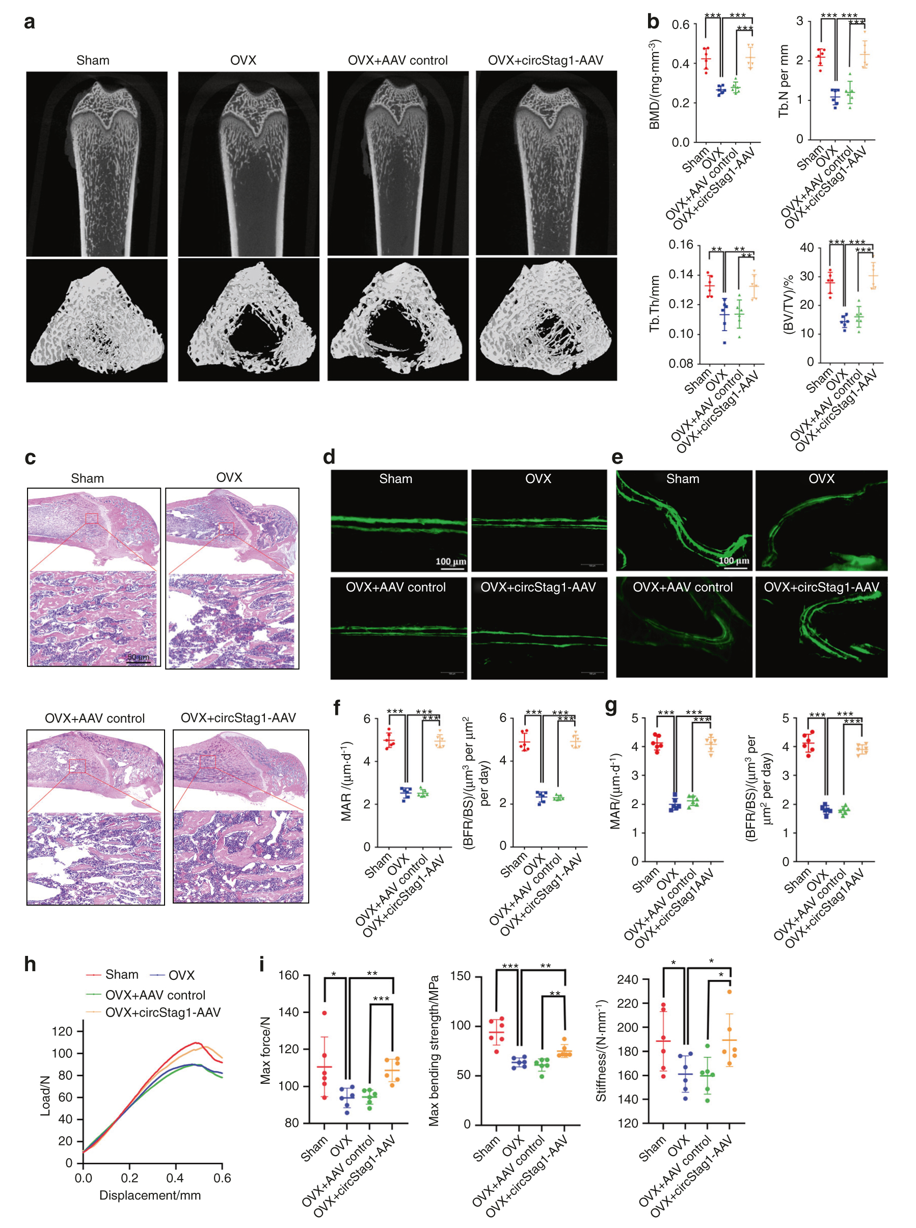
鉴于circStag1是骨生成的促进因子,研究人员进一步在负载circStag1的AAV(circStag1-AAV)的大鼠体内探索了circStag1对骨再生的影响。结果显示,负载circStag1的腺相关病毒(circStag1-AAV)在体内过表达circStag1可促进新骨形成,从而防止去卵巢大鼠的骨丢失。
Fig4. 过表达circStag1可促进OVX大鼠骨形成
总的来说,本研究结果表明circStag1通过HuR/Wnt信号在促进骨组织再生方面发挥了关键作用,这可能为预防绝经后骨质疏松症等骨代谢紊乱提供新的策略。
原文链接:https://www.nature.com/articles/s41413-022-00208-x
本研究中使用到的circRNA测序服务、circRNA FISH探针&试剂盒、生物素标记RNA pulldown circRNA探针及其对照产品均由锐博生物提供!更多产品与服务信息,欢迎来电咨询!